ALZHEIMER : Le sexe affecte tau dans le cerveau
Le sexe affecte l'accumulation de protéine tau dans le cerveau, révèle cette étude par imagerie moléculaire, présentée lors du Congrès 2019 de la Society of Nuclear Medicine and Molecular Imaging. La TEP (tomographie par émission de positons (TEP) ou pet scan) montre que les femmes porteuses de l'allèle ApoE 4 sont plus vulnérables que les hommes à cette accumulation de tau dans le cerveau.
Le facteur de risque génétique le plus important pour la maladie d'Alzheimer est l'allèle de type 4 de l'apolipoprotéine E (ApoE ε4). Ces travaux présentés par le Dr Manish Paranjpe révèlent que le sexe joue un rôle important dans le risque de maladie d'Alzheimer, les femmes ayant un risque plus élevé de développer la maladie et une vulnérabilité accrue aux facteurs de risque génétiques.
C’est la première étude à démontrer que le sexe module l’effet de l’ApoE ε4 sur le dépôt de tau cérébral.
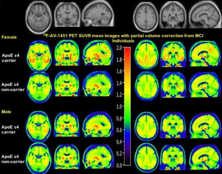
Cette étude transversale menée auprès de 131 sujets âgés en moyenne de 77 ans, dont 66 femmes à cognition « normale » et 97 sujets atteints de déficience cognitive légère dont 39 femmes a évalué les dépôts de tau en prenant en compte les facteurs de confusion possibles (âge et niveau d’études notamment). L’analyse montre que :
- les femmes avec mutation ApoE ε4 sont plus vulnérables que les hommes à l’accumulation de tau,
- le sexe ne module pas en revanche le dépôt de tau associé à ApoE ε4 dans le cerveau des participants en bonne santé cognitive ;
- mais le sexe module l'effet de l'ApoE ε4 sur le dépôt de tau dans le cerveau des participants au stade précoce de la maladie d'Alzheimer ;
- ce constat vaut pour le cortex entorhinal, l’amygdale, le gyrus para-hippocampal et le cortex cingulaire postérieur. De manière frappante, les femmes en déficience cognitive connaissent une augmentation plus importante du dépôt de tau associé à l’ApoE ε4 dans toutes ces zones, vs leurs homologues masculins (voir visuel).
Les implications sont importantes pour les essais cliniques, les biomarqueurs et les développements thérapeutiques dans la maladie d'Alzheimer. En particulier, le dosage des anticorps anti-tau devrait être adapté au sexe du patient. Et, plus globalement, le développement de médicaments pour le traitement d’Alzheimer devrait cibler le sexe et l'ApoE.
Autres actualités sur le même thème
RECONNAISSANCE FACIALE : Une fonction cérébrale parfois subliminale
Actualité publiée il y a 6 années 10 moisMALADIES NEURODÉGÉNÉRATIVES : Et si les neurones se réveillaient pour mourir ?
Actualité publiée il y a 1 année 9 moisÉMOTION : Comment elle influe sur l'action et la performance
Actualité publiée il y a 6 années 4 moisMÉDITATION : Les microbes intestinaux méditent aussi
Actualité publiée il y a 3 années 21 heures



