ATHÉROSCLÉROSE : Des particules ossifiées retrouvées dans le sang
Les vaisseaux sanguins de la moelle osseuse se convertiraient-ils progressivement en os avec le temps ? C’est l’hypothèse suggérée par cette étude de l’Université du Texas à Arlington et documentée dans la revue Microcirculation. Ces conclusions suggèrent une contribution de ces particules ossifiées à des maladies telles que la calcification vasculaire, la crise cardiaque, l’AVC et la thrombose veineuse.
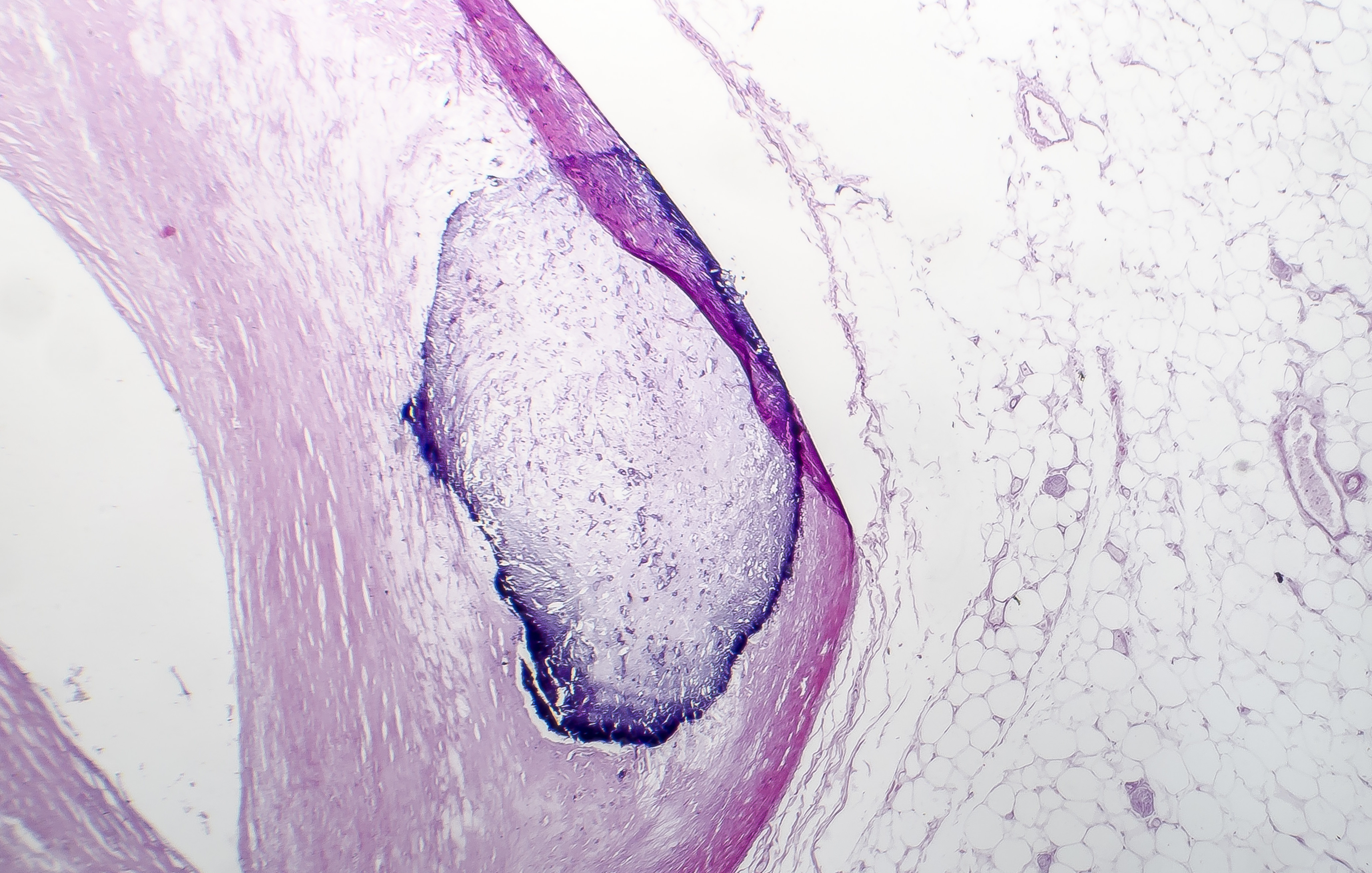
L’auteur principal, Rhonda Prisby, professeur agrégé de kinésithérapie à la Faculté des sciences infirmières et de la santé du Texas a examiné ces vaisseaux et a découvert de minuscules particules ressemblant à de l’os dans la circulation périphérique : « En examinant des images apparemment sans rapport et en reliant leurs détails, j'ai pu confirmer la présence de particules ossifiées dans le sang. Certaines de ces particules s’avèrent suffisamment volumineuse pour « encrasser » le sang et contribuer au développement de l’athérosclérose ».
Des particules ossifiées, tranchantes et « calcifiantes »
Non seulement la maladie cardiaque est la principale cause de décès chez les hommes et les femmes, mais la calcification vasculaire est une caractéristique commune et un facteur de risque de morbidité et de mortalité bien documenté.
La découverte de ces particules ossifiées entraîne 2 implications :
- Ces particules peuvent contribuer à la rigidité et à la calcification artérielles ;
- elles induisent aussi un danger bien particulier en raison de leurs arêtes vives : certaines des particules ossifiées ont des extrémités et des bords tranchants qui peuvent endommager la paroi des vaisseaux sanguins. Ces dommages peuvent ensuite provoquer des événements conduisant à l'athérosclérose (accumulation de plaque) et à une réduction du flux sanguin au fil du temps.
L’implication majeure de l’étude est finalement la découverte d’un nouveau biomarqueur de risque cardiovasculaire : ces particules ressemblant à de micro-segments osseux et constituent un indice précieux pour détecter et évaluer le risque cardiaque. Elles pourraient également représenter une cible possible de traitement.
L’équipe poursuit ses recherches afin de mieux comprendre comment, précisément, les particules ossifiées contribuent aux maladies cardiovasculaires.
Autres actualités sur le même thème
RISQUE CARDIOMÉTABOLIQUE : Les céramides, ces cousins malveillants du cholestérol
Actualité publiée il y a 4 années 6 moisFIV : Stress et risque cardiaque accru
Actualité publiée il y a 2 années 4 moisMALADIE CARDIOVASCULAIRE : Et l'égalité de traitement pour les femmes ?
Actualité publiée il y a 5 années 1 semainePRESSION ARTÉRIELLE : Un contrôle toujours insuffisant et très disparate
Actualité publiée il y a 3 années 6 mois



