CANNABIS : Il endommage le cerveau des adolescents, on ne le répètera jamais suffisamment
Les études se succèdent pour suggérer les multiples avantages possibles du cannabis dans la prise en charge de certaines maladies ou conditions, comme la douleur ou l’anxiété. Le cannabidiol, en particulier a montré des bénéfices dans la lutte contre la dépression ou la réduction des crises dans l’épilepsie ou encore contre la douleur neuropathique de la fibromyalgie. Mais, de l’autre côté, les études sont toutes unanimes à reconnaître les dangers de la consommation de cannabis pour le cerveau encore en développement de l’adolescent. Cette étude réitère cette mise en garde. Menée sur des souris adolescentes modèles de graves maladies mentales humaines, cette recherche de la Johns Hopkins propose, dans la revue Biological Psychology, une explication possible explication du processus par lequel le cannabis peut endommager le cerveau de certains adolescents.
Les scientifiques montrent ici comment l'exposition au cannabis augmente l'inflammation dans un type spécifique de cellule cérébrale chez ces souris adolescentes porteuses d'une mutation génétique rare liée à la schizophrénie et/ou au trouble bipolaire. Cependant, lorsque les chercheurs les traitent avec un médicament anti-inflammatoire non stéroïdien (NS398) pour supprimer l'inflammation cérébrale induite par le cannabis, ils parviennent à prévenir les dommages cérébraux induits chez ces souris pourtant génétiquement prédisposées à ces effets nocifs.
Le cannabis induit une inflammation dans certaines cellules cérébrales : l'inflammation semble activée de la même manière chez de nombreuses personnes qui fument du cannabis, relèvent les auteurs, « cependant certains humains -tout comme les souris de l’expérience- semblent plus génétiquement prédisposés à cette réponse inflammatoire accrue et aux lésions cérébrales associées », commente le Dr Mikhail "Misha" Pletnikov, professeur de psychiatrie à l’Université Johns Hopkins.
Une consommation élevée de cannabis serait, en raison de cette inflammation, liée à des problèmes cognitifs persistants : bien que des recherches supplémentaires soient nécessaires pour déterminer si ces conclusions s’appliquent aux humains, il est déjà clair -soutiennent les chercheurs- que la forte consommation de cannabis est liée à des problèmes cognitifs persistants, mais seulement chez une partie des sujets qui en ont consommé à l’adolescence.
Seuls certains sujets seraient touchés par ces troubles cognitifs induits par le cannabis : le défi pour les scientifiques serait maintenant d'identifier les facteurs de risque susceptibles d'accroître les effets néfastes du cannabis. Obtenir cette information pourrait en effet conduire au développement de stratégies préventives efficaces. S'appuyant sur le fait que seul un sous-groupe de fumeurs adolescents de cannabis développe ces troubles cognitifs plus tard dans la vie, ici, les chercheurs ont adopté un axe de recherche de susceptibilité génétique, et ont choisi, précisément un modèle murin de maladies psychiatriques porteur d'une mutation du gène DISC1 à l'origine de la schizophrénie, du trouble bipolaire et de la dépression majeure, dans une famille écossaise.
Des souris qui fabriquent la protéine DISC1 défectueuse ou mutée dans leur cerveau, ayant reçu à l’équivalent de l’adolescence, 8 mg par kilogramme de D9-tétrahydrocannabinol (THC), l’un des principaux principes actifs du cannabis, présentent en effet des déficits comportementaux et cognitifs au début de leur âge adulte. En particulier, ces souris font alors moins bien au test du labyrinthe ou au test de reconnaissance d'objets. Bref, les souris déficientes en DISC1 exposées au THC, et tout particulièrement les souris mâles, présentent une mémoire de reconnaissance insuffisante dans le labyrinthe Y précédemment bloqué et le nouvel objet autant qu’elles examinaient les bras et objets familiers.
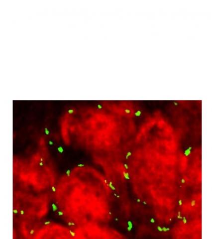
Quelles cellules cérébrales sont touchées ? Les chercheurs identifient alors chez ces souris mutantes et précisément dans les cellules « astrocytes » du cerveau, 56 gènes liés à l'inflammation spécifiquement activés en cas d’exposition au THC. Cette activation induit des signaux inhibiteurs (en vert sur visuel 2) qui empêchent les neurones de communiquer via les synapses. A l’inverse, à l’aide d’un médicament anti-inflammatoire administré aux souris mutantes avant leurs injections quotidiennes de THC, les scientifiques éliminent tout risque de problèmes cognitifs.
Un traitement anti-inflammatoire pourrait ainsi, peut-être inverser l'effet ? -à supposer que ces résultats soient répliqués chez l’Homme- et prévenir les conséquences à long terme de la consommation de cannabis à l’adolescence. Mais cela suppose, comme on l’a vu précédemment, d’être capable d’identifier préalablement les personnes vulnérables, avant de pouvoir protéger leur mémoire.
Ces recherches passionnantes vont être élargies à d’autres modèles animaux afin de déterminer comment diverses vulnérabilités génétiques peuvent jouer un rôle dans ces effets du cannabis sur le cerveau en développement.
Autres actualités sur le même thème
GROSSESSE et CANNABIS : L’exposition prénatale fait mal au placenta
Actualité publiée il y a 4 années 5 moisNICOTINE : Velo moins toxique que la cigarette ?
Actualité publiée il y a 5 années 8 moisDÉPRESSION : Ce que révèlent la salive et les cheveux
Actualité publiée il y a 2 années 7 moisDOULEUR CHRONIQUE: Elle dévaste le cerveau et le système immunitaire
Actualité publiée il y a 10 années 4 mois



