CAVERNOME : Le bêta-bloquant qui répare les vaisseaux sanguins dans le cerveau
Les bêta-bloquants peuvent réparer les vaisseaux sanguins mal formés dans le cerveau, révèle cette équipe de l’Université d'Uppsala : un bêta-bloquant, le propranolol contribue à réduire le nombre et la taille des malformations caverneuses cérébrales. Efficace contre les hémangiomes infantiles (ressemblant à des taches de naissance), le médicament pourrait également être utilisé pour traiter les malformations caverneuses cérébrales, une affection caractérisée par des vaisseaux sanguins déformés dans le cerveau et ailleurs. Un espoir pour les patients et leurs familles, car « jusqu'à présent, il n'y avait pas de traitement ou de candidat médicament pour ces patients », rappelle l’auteur principal, le Dr Peetra Magnusson du Département d'immunologie, de génétique et de pathologie de l'Université.
Les malformations caverneuses cérébrales (CCM), également appelées angiomes caverneux ou cavernomes, sont des lésions vasculaires sur les vaisseaux sanguins du cerveau et ailleurs, causées par des facteurs génétiques qui peuvent être héréditaires ou survenir spontanément. Aujourd'hui, la chirurgie est la seule option pour enlever ces lésions. Cependant, les interventions chirurgicales dans le cerveau sont très risquées. Un traitement médicamenteux serait ben évidemment le bienvenu.
Un traitement médicamenteux serait le bienvenu.
Les indications du propranolol, un bêtabloquant, comprennent le traitement des maladies et affections cardiovasculaires, telles que l'hypertension artérielle. Mais le médicament peut également être utilisé pour traiter un hémangiome qui est aussi une malformation fréquente des vaisseaux sanguins chez les enfants. Cela suggère qu’il pourrait également « fonctionner » contre les CCM.
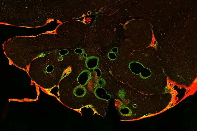
L’espoir du propranolol dans le traitement des CCM : Les chercheurs de l'Université d'Uppsala, de l'Université suédoise des sciences agricoles et de l’IFOM (Italie) ont regardé comment le propranolol affecte l'émergence de lésions vasculaires sous la forme de CCM. Sur des souris modèles de cavernomes, ils montrent que le traitement par propranolol permet de réduire le volume et le nombre de cavernomes. Les vaisseaux sanguins fonctionnent mieux avec moins de fuites et des contacts améliorés entre les cellules endothéliales.
Ces résultats suggèrent que le propranolol peut être utilisé pour réduire et stabiliser les lésions vasculaires, et peut être un médicament possible pour traiter les CCM.
Il se trouve qu’en Italie, une étude clinique est en cours dans laquelle les patients atteints de CCM vont recevoir un traitement par propranolol durant 2 ans, et sous surveillance IRM.
Autres actualités sur le même thème
COVID : Le lourd tribut sur la santé mentale des jeunes
Actualité publiée il y a 1 année 10 moisALZHEIMER : Découverte de 2 variants génétiques associés spécifiquement à la maladie
Actualité publiée il y a 6 années 8 moisALZHEIMER: Empêcher Tau de se replier et de s'agréger
Actualité publiée il y a 9 années 11 moisLATÉRALITÉ : Son ontogenèse commence à la moelle épinière et non au cortex
Actualité publiée il y a 8 années 11 mois
ABONNEMENT PREMIUM
Accédez sans limite à plus de 15 000 actualités



