COVID-19 : Le large spectre de ses complications cérébrales
Cette grande étude internationale, présentée lors de la Réunion annuelle de la Radiological Society of North America (RSNA) révèle tout le spectre des complications cérébrales du COVID-19, de simples maux de tête à l’accident vasculaire cérébral et d'autres complications cérébrovasculaires pouvant être mortelles.
De très nombreuses études ont documenté les complications pulmonaires liées au COVID-19, mais moins d’études ont porté sur les effets de la maladie sur d’autres organes, explique l'auteur principal, le Dr Scott H. Faro, professeur de radiologie et de neurologie à l'Université Thomas Jefferson de Philadelphie. « Notre étude montre que les complications du système nerveux central représentent une cause importante de morbidité et de mortalité au cours de cette pandémie dévastatrice ». Quelques recherches *, portant cependant sur un nombre limité de cas, ont décrit différentes complications neurologiques associées au COVID, en particulier au COVID long. Certaines ont suggéré la responsabilité, dans ces complications, de l’inflammation plutôt que l’infection même des cellules cérébrales.
1,2 % des patients hospitalisés avec le COVID développeront une complication cérébrale
C’est la plus grande étude internationale multi-institutionnelle menée à ce jour sur les complications cérébrales du COVID-19, soit auprès de 40.000 patients COVID hospitalisés, entre septembre 2019 et juin 2020. L’analyse des données révèle que :
- la cause la plus fréquente d'admission est la confusion et l'altération de l'état mental, suivies de la fièvre ;
- les comorbidités plus fréquentes comprennent l'hypertension, les maladies cardiaques et le diabète ;
- environ 1 patient sur 100 (1,2 %) patients hospitalisés avec COVID-19, développe des complications sévères du du système nerveux central (SNC) ;
- chez les patients hospitalisés ayant besoin de subir une IRM ou une tomodensitométrie (CT-scan) du cerveau, l'examen s’avère positif (diagnostic d’un problème cérébral) environ 10 % du temps ;
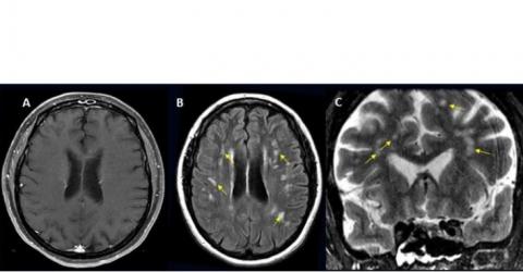
- les complications les plus sévères incluent l’accident vasculaire cérébral, des hémorragies et d'autres complications mortelles ;
- les complications les plus fréquentes comprennent l'accident vasculaire cérébral ischémique (AIT), avec une incidence de 6,2 %, suivi par l'hémorragie intracrânienne (3,72 %) et l'encéphalite (inflammation du cerveau) (0,47 %) ;
- certaines complications cérébrales rares sont également identifiées telles que l'encéphalomyélite aiguë disséminée (ADEM), une inflammation du cerveau et de la moelle épinière et le syndrome d'encéphalopathie postérieure réversible (SEPR), un syndrome qui induit de nombreux symptômes similaires à ceux de l’AVC ;
Ces travaux précisent ainsi de manière quasi-exhaustive, et pour la première fois, l’incidence de toutes les complications majeures du système nerveux central, associées, à ce jour, à la maladie COVID-19.
Autres actualités sur le même thème
FIBROMYALGIE: On a trouvé sa signature neurophysiologique !
Actualité publiée il y a 9 années 7 moisINTELLIGENCE : L’imagerie cérébrale permet d’y voir plus clair
Actualité publiée il y a 8 années 3 moisPRISE de DÉCISION : Comment notre cerveau évite les écueils passés
Actualité publiée il y a 8 années 1 semaineALCOOLODÉPENDANCE : Cibler quelques neurones pour alléger le sevrage
Actualité publiée il y a 5 années 12 mois



