DRÉPANOCYTOSE : L’AVC silencieux, une complication jusque-là insaisissable
Cette recherche menée à l'hôpital pour enfants de Los Angeles nous permet de mieux comprendre une complication insaisissable de la drépanocytose, l'AVC silencieux. Ce faisant, avec cette meilleure compréhension du processus en cause, elle ouvre la voie à de possibles thérapies géniques permettant de rétablir un flux sanguin normal dans le cerveau.
La drépanocytose est une maladie rare mais dévastatrice. En raison d'une mutation génétique affectant l'hémoglobine, le composant du globule rouge qui transporte l'oxygène, une quantité trop réduite d'oxygène est fournie aux tissus et organes vitaux. Les cellules sanguines se déforment également en une forme de croissant caractéristique et se logent dans les plus petits vaisseaux sanguins, bloquant le flux sanguin et provoquant une douleur atroce. En plus de ces symptômes, les patients sont exposés à un risque élevé d'accident vasculaire cérébral (AVC). C’est la cause principale de décès chez les patients atteints de drépanocytose.
Alors que la déformation de l’hémoglobine présente un grave danger pour le cerveau, que quelques minutes seulement sans oxygène peuvent tuer les cellules cérébrales, le Dr John Wood et son équipe ont voulu mieux comprendre comment la maladie affecte la circulation sanguine et l’apport en oxygène : « Cette étude nous en apprend beaucoup sur la façon de prévenir les AVC chez ces patients » fréquemment touchés par la cécité ou la paralysie ». D’autant que ce groupe de patients subit régulièrement des AVC silencieux.
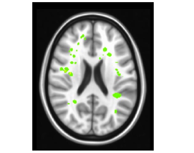
Les AVC silencieux (en vert clair sur visuel) ont aussi des effets débilitants sur la fonction exécutive, sur la capacité du cerveau à exécuter des tâches complexes nécessaires pour le maintien d'un travail ou la réussite scolaire. A priori, la cause de ces AVC peut paraître évidente, liée aux cellules sanguines endommagées et au manque d’oxygène du cerveau. Moins d'oxygène au cerveau entraîne bien l’AVC. Cependant, l’équipe montre ici que le volume total d'oxygène n’est pas vraiment réduit chez les patients atteints de drépanocytose : car le corps compense la teneur réduite en oxygène du sang en augmentant le flux sanguin vers le cerveau. Alors pourquoi ces patients souffrent-ils d’AVC ?
Une disparité en oxygène selon les zones du cerveau : une technique d'imagerie avancée permettant de mesurer le flux sanguin, révèle ainsi une disparité entre les zones du cerveau. Alors que l'apport total d'oxygène au cerveau reste inchangé, l'apport d'oxygène à la substance blanche est réduit de plus d'un tiers (35% en moyenne) chez les patients atteints. Or, c'est dans cette partie du cerveau que surviennent la majorité des accidents vasculaires cérébraux silencieux chez ces patients. Si la matière grise est composée de neurones, des cellules du cerveau qui stockent des informations, la substance blanche est le réseau que les neurones utilisent pour transmettre ces informations. Chez ces patients, le corps fait la différence entre matière grise et substance blanche, en donnant clairement la priorité aux neurones. Ce qui a du sens -écrivent les chercheurs- car garder les neurones en vie est essentiel à la survie. Un AVC dans la matière grise est catastrophique, un AVC silencieux dans la substance blanche ralentit « simplement » le traitement de l'information. Cependant certains AVC dans la substance blanche peuvent entraver considérablement certains aspects de la vie quotidienne du patient.
Ainsi, le corps détourne le sang vers des zones les plus pertinentes. Pendant l'exercice, par exemple, le flux sanguin augmente dans nos muscles pour répondre aux besoins métaboliques, mais diminue dans le tube digestif. De la même manière, sous l'effet du manque d'oxygène dans le cerveau, le flux sanguin est dévié vers les neurones de la matière grise afin d'éviter leur mort. Avec un effet d’autant plus marqué que l'apport d'oxygène dans la substance blanche s’avère, selon l’étude, extrêmement sensible au niveau d’hémoglobine.
La recherche ouvre la voie à une meilleure compréhension des accidents vasculaires cérébraux chez les patients atteints de drépanocytose, mais avec des implications comme de nouvelles approches de thérapie génique, sur le cerveau.
Autres actualités sur le même thème
DÉMENCE et NEURODÉGÉNÉRESCENCE : Un nutraceutique de la chicorée pour les conjurer
Actualité publiée il y a 9 années 4 moisLIBRE ARBITRE : Pourquoi il faut respirer avant de décider
Actualité publiée il y a 6 années 3 moisSYNDROME d’ANGELMAN : Les promesses de la thérapie génique
Actualité publiée il y a 4 années 6 moisSANTÉ au TRAVAIL : Le stress compromet la santé cardiovasculaire
Actualité publiée il y a 1 année 5 mois



