ÉDITION du GÉNOME : Pour un travail d’orfèvre contre le cancer
Alors que la Française Emmanuelle Charpentier vient de recevoir le Prix Nobel de chimie pour sa contribution aux travaux sur le ciseau génétique CRISPR-Cas9 , l’édition du génome trouve avec cette nouvelle recherche du Centro Nacional de Investigaciones Oncológicas (CNIO, Madrid) une nouvelle application contre le cancer. Une application d’autant plus bienvenue que selon ces conclusions publiées dans l’excellente revue Nature Communications, les ciseaux éliminent les cellules tumorales sans affecter les cellules saines.
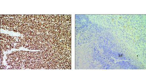
Testée in vitro sur des lignées cellulaires et in vivo sur des souris modèles de sarcome d'Ewing et de leucémie myéloïde chronique, le système d'édition CRISPR/ Cas9, l'une des approches les plus prometteuses pour faire progresser les traitements des maladies génétiques, élimine ici les variants à l’origine des cellules tumorales (Visuel de droite vs gauche avant CRISP). L’équipe de l'unité de cytogénétique moléculaire dirigée par Sandra Rodríguez-Perales au CNIO apporte la démonstration in vivo de l’efficacité de la technologie pour éliminer les gènes dits « de fusion » à l’origine du cancer. Ces travaux ouvrent un peu plus la voie au développement de thérapies anticancéreuses basées sur CRISP capables d’éliminer les tumeurs sans affecter les cellules saines.
Jusqu'à 20% de tous les cancers seraient « issus » de gènes de fusion
Les gènes de fusion sont le résultat anormal d'une jonction incorrecte de fragments d'ADN provenant de deux gènes différents, un événement qui se produit par accident au cours du processus de division cellulaire. Si l'erreur se traduit par un avantage de reproduction ou de survie, la cellule porteuse se multiplie et les gènes de fusion et les protéines qu'ils codent déclenchent la formation de tumeurs. Ainsi, de nombreux réarrangements chromosomiques et les gènes de fusion qui en sont issus sont à l'origine de sarcomes, de leucémies infantiles, de cancers de la prostate, du sein, du poumon et du cerveau. Parce qu'ils ne sont présents que dans les cellules tumorales, les gènes de fusion sont des cibles thérapeutiques très prometteuses pour de nouveaux traitements contre le cancer.
Comment « ça marche » ? A l'aide de la technologie CRISPR et ses ciseaux moléculaires, les chercheurs peuvent cibler des séquences spécifiques du génome et couper et coller des fragments d'ADN et modifier le génome de manière contrôlée de manière à éliminer les cellules tumorales en coupant les gènes de fusion à l'origine de la tumeur.
C'est la première fois que CRISPR démontre sa capacité à éliminer de manière sélective les gènes de fusion dans les cellules tumorales. Grâce à une stratégie innovante de l’équipe du CNIO : « faire deux coupes dans les introns, régions non codantes d'un gène, situées aux deux extrémités du gène de fusion ». De cette manière, lorsque la cellule tente de réparer ces cassures par elle-même, la cellule recolle les extrémités coupées, ce qui entraîne l'élimination complète du gène de fusion situé au milieu. Ce gène étant essentiel à la survie de la cellule, cette réparation entraîne automatiquement la mort de la cellule tumorale.
D'autres recherches vont être menées pour analyser la sécurité et l'efficacité de l’approche mais ces travaux apportent déjà une preuve de concept, avec des implications plus immédiates dans le sarcome d'Ewing et la leucémie myéloïde chronique, et possibles dans d'autres types de cancers provoqués par des gènes de fusion.
Autres actualités sur le même thème
IMMUNOTHÉRAPIE du CANCER : Pourquoi elle « donne » la colite
Actualité publiée il y a 2 années 4 moisALDÉHYDES : Comment l'exposition au quotidien peut déclencher le cancer
Actualité publiée il y a 8 années 12 moisCURCUMINE : Comment une enzyme du safran parvient à bloquer le cancer
Actualité publiée il y a 7 années 10 moisCANCER du SEIN : Il atteint aussi le partenaire
Actualité publiée il y a 1 année 5 mois
ABONNEMENT PREMIUM
Accédez sans limite à plus de 15 000 actualités



