FIBROMYALGIE: Une hypersensibilité centrale ou des petites fibres nerveuses?
Est-ce le système nerveux central qui réagit de manière hypersensible ou est-ce une neuropathie des petites fibres ? Plusieurs études récentes accordent un rôle clé à ces petites fibres nerveuses dans le développement de la fibromyalgie. Ces petites fibres nerveuses de moins de 9 microns de diamètre pourraient en effet être responsables d’une partie des douleurs éprouvées dans la fibromyalgie. De nouvelles données présentées dans 2 revues spécialisées, Pain et Current Pain Headache Reports, qui pourraient faire progresser considérablement le diagnostic de la maladie.
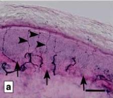
Ces dernières études suggèrent que la fibromyalgie ne serait donc pas simplement un trouble du système nerveux central mais une affection systémique et peut-être immunitaire qui se prolongerait par des dommages aux petites fibres nerveuses, présentes dans la peau, et à de nombreux endroits sur le corps. Ces microfibres nerveuses, très finement myélinisées ou amyéliniques, sont celles qui transmettent au cerveau l'information sensorielle comme le toucher, la sensation de chaleur ou de froid mais aussi la douleur. Ces fibres minuscules jouent également un rôle dans la régulation de la transpiration et de la pression artérielle. Enfin, elles rejoignent un organe situé juste à l'extérieur de la moelle épinière, le ganglion spinal de la racine dorsale dans lequel se trouvent les neurones sensitifs. Une densité réduite de ces fibres nerveuses de la peau a été associée à la neuropathie des petites fibres : ainsi les personnes atteintes présentent une densité de 3 à 7 fibres par ml de peau (visuel b) vs 10 pour les personnes en bonne santé (visuel a). Les chercheurs ont donc recherché les causes de cet appauvrissement en petites fibres nerveuses, d'autant qu'à une densité réduite de fibres nerveuses devrait, normalement, être associée une moindre sensibilité à la douleur.
Pourquoi une douleur exacerbée : Plusieurs explications sont avancées :
· les fibres nerveuses restantes pourraient être les fibres les plus actives dans la détection de la douleur et les plus sensibles aux cytokines inflammatoires,
· moins de fibres nerveuses pourrait également impliquer plus d'activité voire même une hyperactivité des canaux sodiques qui transmettent des signaux de douleur dans les fibres nerveuses restantes,
· certains types de petites fibres nerveuses (les auteurs citent les fibres A-delta et C) comportant des sous-groupes fonctionnels (peptidergiques, cholinergiques et adrénergiques) pourraient être touchés plus que d'autres, cependant des recherches restent à mener pour déterminer lesquels.
Le rôle clé de la sensibilisation centrale : ces nouvelles voies de recherche, du côté des petites fibres nerveuses n'excluent pas le rôle fondamental du système nerveux central et de l'augmentation des signaux de douleur du système nerveux central (SNC). Ici, certains experts laissent la majorité de responsabilité au SNC en rappelant qu'il n'existe pas de relation précisément dose-dépendante entre que les dommages à la périphérie (petites fibres) et les niveaux de douleur éprouvés. Le SNC serait alors bien le grand responsable de la douleur, les lésions es petites fibres venant expliquer plutôt les autres symptômes de la fibromyalgie comme la fatigue, démangeaisons, troubles du sommeil, de la cognition ou de l'humeur.
SNC et petites fibres : un compromis serait que le SNC et les fibres périphériques pourraient être tous deux hyperactifs et liés dans la maladie. Cette théorie se voit plutôt renforcée par les effets des traitements utilisés dans la fibromyalgie (prégabaline, gabapentine et antidépresseurs tricycliques (ATC)) qui vont traiter aussi la neuropathie des petites fibres. L'étude publiée (2) dans Current Pain and Headache Reports suggère, après examens poussés, une neuropathie mixte des « petites et grandes fibres » chez de nombreux patients.
De nouveaux critères de diagnostic ? Ces nouvelles données sur les petites fibres nerveuses pourraient en effet inciter à revoir les critères de diagnostic de la maladie, en intégrant les lésions des petites fibres nerveuses au nombre des signes cliniques. En particulier, une densité de fibres nerveuses normale dans une biopsie de la peau pourrait inciter à aller rechercher d'autres causes à la douleur éprouvée par le patient. De la même manière, une densité <3,0 fibres par ml devrait inciter à d'autres examens.
Enfin, les auteurs posent la question du rôle du système immunitaire souvent impliqué dans les lésions tissulaires et de l'efficacité possible des thérapies immunitaires. Bref, il reste encore beaucoup à comprendre sur les processus sous-jacents à la fibromyalgie, une maladie qui affecte pourtant 2% au moins de la population, avec des symptômes douloureux et handicapants.
Autres actualités sur le même thème
PERTE de MÉMOIRE ou PERTE d'AUDITION ? Il faut toujours se poser la question
Actualité publiée il y a 7 années 3 moisALZHEIMER: Une poignée de myrtilles pour conjurer la démence
Actualité publiée il y a 10 années 2 moisSCLÉROSE latérale amyotrophique : Comme quoi les agrégats ne sont pas toujours néfastes
Actualité publiée il y a 10 années 2 moisSYNDROME du CÔLON IRRITABLE: L'anxiété peut-elle donner mal au ventre
Actualité publiée il y a 9 années 9 mois



