MÉDITATION transcendantale : Un état de vigilance reposant, la preuve par l'imagerie
Cette analyse par imagerie de la Maharishi University of Management (Iowa) met en évidence, de manière scientifique et objective, un « état unique de vigilance reposant » pendant la méditation transcendantale. Des données présentées dans la revue Brain and Cognition qui encouragent à intégrer cette forme de méditation dans notre vie au quotidien, afin d’apporter quelques instants de repos au corps et de silence à l’esprit.
Alors qu’il existe une grande "variété" de méditations, et que l’on « parle » indifféremment de méditation, il est important de distinguer entre ces différentes pratiques et de leur associer des effets spécifiques précis sur le corps et le cerveau, remarque Michelle Mahone, auteur principal de l’étude : « Il est en effet logique que différentes approches de la méditation impactent le cerveau de différentes manières ». Alors que la technique de méditation transcendantale est censée conduire à cet état de vigilance reposante, cette étude confirme par l'image de l'activation des différentes zones du cerveau, que durant sa pratique, l'esprit est bien alerte mais que le corps est plongé dans un état profond de repos.
Cette analyse par imagerie par résonance magnétique fonctionnelle (IRMf) de 16 sujets pendant leur pratique de la méditation transcendantale montre :
- avec l’attention et la concentration sur certains éléments, une activité accrue dans les zones du cortex préfrontal ;
- mais aussi une diminution de l'activité dans les zones liées à l'excitation, suggérant un repos profond, ce qui n’est pas forcément le cas avec d’autres pratiques de la méditation, soulignent les auteurs.
Un état de vigilance reposant, c’est la description synthétique des auteurs : « Cette réduction de l'activation sympathique résulte de l'obtention d’un état de vigilance reposant pendant la pratique de la méditation transcendantale », commente Fred Travis, co-auteur de l'étude. « Cette vigilance reposante est la clé de la méditation transcendantale, c'est un type de repos très différent du sommeil, rajeunissant et thérapeutique, tout en permettant à la personne de vivre des états mentaux plus profonds comme l’expérience continue de la transcendance ».
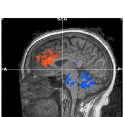
L’étude montre en effet que cet état est plus qu'un concept ou une allégation mais se traduit par des modèles de flux sanguin qui apportent une image physiologique de la réalité de la vigilance reposante dans l'esprit et le corps :
- L’augmentation (en orange) du flux sanguin est en effet constatée vers les zones du cortex préfrontal associées à l'attention et aux fonctions exécutives telles que la prise de décision, le raisonnement, la mémoire de travail, l’inhibition et l’anticipation de récompense.
- La diminution (en bleu) du flux sanguin vers le pont impliqué dans la régulation de l'état général d'excitation, des rythmes respiratoires et cardiaques soutient l’idée que la méditation transcendantale apporte « un repos » au corps et « un silence » à l’esprit.
- La diminution de l'activité du cervelet impliqué dans la régulation de la vitesse et la variabilité du traitement de l'information, à la fois liées à la coordination et au contrôle moteur, ainsi qu'aux fonctions cognitives telles que l'attention et le langage, suggère que le corps revient à un mode plus automatique sans avoir besoin d'un effort cognitif élevé pour exercer un contrôle.
- Ensemble, la diminution de l'activité de l'activité pont et cervelet suggère une réduction globale du contrôle cognitif et du traitement exécutif pendant la méditation transcendantale, comme si le système attentionnel était à un point d'équilibre mais prêt à agir si nécessaire.
En utilisant l'esprit d'une manière spécifique, le repos vient : l’étude suggère, comme de précédentes recherches que la méditation pourrait être une clé pour équilibrer le système nerveux autonome et améliorer la qualité de vie. Et cela sans effort : « la méditation transcendantale est sans effort parce qu'elle suit la tendance naturelle de l'esprit.
On commence à la pratiquer et puis ça vient tout seul sans analyse ou intention particulières. Un peu comme un facteur de mode de vie…
Autres actualités sur le même thème
SYNDROME de TAKOTSUBO: Quand le bonheur devient trop fort en émotion
Actualité publiée il y a 10 années 3 moisCANNABIS : Sur l’exposition in utero
Actualité publiée il y a 3 années 7 moisDÉPRESSION : 2 doses d'hallucinogène psilocybine suffisent à la soulager
Actualité publiée il y a 4 années 2 moisGROSSESSE et ANTIDÉPRESSEURS: Quand la dépression passe de la mère à l'enfant
Actualité publiée il y a 10 années 4 semaines



