OBÉSITÉ : Stimuler la chaleur corporelle pour brûler les graisses ?
Stimuler la production de chaleur corporelle, c’est l’approche poursuivie par l’équipe d’endocrinologues du Garvan Institute (Australie) pour lutter contre l'obésité. Une approche qui rejoint la piste de la « graisse brune » mais qui cible un récepteur en amont, un récepteur « coupable » qui, au contraire de l’effet souhaité, aide à conserver l'énergie. Ces travaux, menés à la fois in vitro et in vivo, publiés dans la revue Nature Communications, suggèrent également d’autres bénéfices à cette approche, dont la stimulation de la croissance des cellules osseuses, l'amélioration de la fonction cardiovasculaire et la réduction de la résistance à l'insuline.
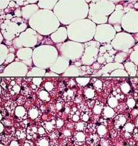
Est-ce même une approche plus largement bénéfique au métabolisme global qui vient d’être développée ? Le co-auteur principal, le Dr Yan-Chuan Shi, neuroendocrinologue explique que sa cible, le récepteur Y1 agit comme un frein pour la génération de chaleur dans le corps et que supprimer ce frein permet de transformer la « mauvaise » graisse blanche (en haut sur visuel ci-dessous), celle qui stocke l'énergie en graisse brune (en bas sur visuel), celle qui brûle de l'énergie. L’approche rejoint ainsi la piste de recherche bien connue qui consiste à favoriser le tissu adipeux brun.
Une approche prometteuse alors que la plupart des médicaments actuellement utilisés pour traiter l'obésité ciblent le cerveau pour supprimer l'appétit et peuvent avoir des effets secondaires graves qui limitent leur utilisation. Cette approche, comme les autres recherches qui visent à privilégier la « bonne » graisse brune, semble plus sécure pour prévenir et traiter l'obésité.
Un récepteur « évolutif » fait pour préserver l'énergie en cas de famine
Les récepteurs Y1 sont en effet contrôlés par la molécule neuropeptide NPY, libérée dans le corps dans des conditions de famine pour réduire la dépense énergétique et augmenter le stockage des graisses en cas de besoin. Les chercheurs font ici des observations prometteuses, à la fois sur des biopsies de tissus adipeux de personnes obèses et sur des modèles expérimentaux d’obésité :
- les récepteurs Y1 sont produits à des niveaux plus élevés dans le tissu adipeux des personnes obèses ;
- le blocage du récepteur Y1 -en utilisant un traitement expérimental (BIBO3304) in vitro et chez la souris modèle d'obésité, active les gènes impliqués dans la production de chaleur, ce qui suggère que le ciblage de la voie du récepteur Y1 peut augmenter le métabolisme des graisses ;
- ainsi, les souris recevant du BIBO3304 et nourries avec un régime riche en graisses prennent environ 40% moins de poids corporel en 7 semaines que les souris recevant un régime riche mais sans le médicament ;
- cette réduction significative du gain de poids corporel s’avère causée par l’augmentation de la production de chaleur corporelle et une réduction de la masse grasse.
Cibler l'obésité à la source : ce récepteur, en amont du stockage des graisses, est peut-être la « bonne » clé ou le bon interrupteur pour parvenir à cette substitution graisse blanche/graisse brune. Le blocage du récepteur neuropeptide qui aide notre corps à réguler sa production de chaleur, pourrait ainsi augmenter le métabolisme des graisses et empêcher la prise de poids.
Un mécanisme d’action ciblé et périphérique : le traitement cible directement les tissus adipeux et ne « s’attaque » pas au cerveau, précisent les chercheurs, car il ne traverse pas la barrière hémato-encéphalique. Ses effets anti-obésité ne se sont donc pas produits via le cerveau, mais uniquement dans les tissus périphériques.
En résumé, le blocage des récepteurs Y1 dans les tissus périphériques, sans affecter le système nerveux central, apparaît ici prometteur pour prévenir l'obésité en augmentant la dépense énergétique. C’est une nouvelle approche thérapeutique plus sûre que les médicaments actuels qui ciblent l'appétit.
Dans l’attente de prochains essais cliniques (chez l’Homme).
Autres actualités sur le même thème
MICROBIOTE INTESTINAL : Comment trop de sucre le perturbe et mène à l’obésité
Actualité publiée il y a 3 années 5 moisFAIBLE POIDS de NAISSANCE et dangers particuliers de l’obésité plus tard dans la vie
Actualité publiée il y a 1 année 10 moisOVAIRES POLYKYSTIQUES : Des problèmes plus fréquents d’image corporelle
Actualité publiée il y a 2 années 6 moisOBÉSITÉ : BAM15 la protéine qui brûle les graisses
Actualité publiée il y a 5 années 11 mois



