PARKINSON: Grande avancée vers un test de diagnostic précoce
Ces chercheurs de l’Université d'Edimbourg poursuivent le développement d’un test, basé sur une protéine clé, l’alpha-synucléine, impliquée dans la formation de ces touffes collantes nommées corps de Lewy, caractéristiques de la maladie de Parkinson. Une nouvelle technique de pointe qui permet d’évaluer la viscosité des protéines et donc le risque de corps de Lewy, permet de détecter la maladie de Parkinson à un stade précoce. Des données, présentées dans les Annals of Clinical and Translational Neurology, qui restent à valider sur un plus grand échantillon de patients mais constituent une étape incontestable d’un développement diagnostique prometteur.
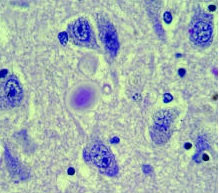
La maladie de Parkinson est une maladie neurologique caractérisée par la mort de certaines cellules du cerveau, impliquées dans le mouvement, l'humeur, le sommeil et la cognition. Ses symptômes dont les tremblements, le ralentissement du mouvement, la raideur et la rigidité musculaire, les troubles de sommeil, la perte de l'odorat, la dépression et la dysfonction cognitive, sont plus souvent constatés autour de l'âge de 60 ans. Il n'existe pas encore de test de dépistage précoce de la maladie et, ses symptômes étant parfois similaires à ceux d'autres troubles neurologiques, le taux d'erreur de diagnostic peut atteindre 25%. De nombreuses équipes travaillent à l'élaboration de tests de diagnostic, soit multicritères, avec notamment des modèles qui intègrent et pondèrent des symptômes moteurs et non moteurs, ou basés sur la force musculaire et l'équilibre, 2 critères qui se détériorent progressivement jusqu'à 25 ans avant l'apparition des autres symptômes de la maladie. Cette nouvelle étude propose un test biologique, qui pourrait trouver également d'autres applications pour les différents types de démence. Le test détecte en effet une protéine, l'alpha-synucléine, impliquée dans la formation de ces touffes collantes nommées corps de Lewy (Visuel ci-contre) dans les cellules du cerveau des patients parkinsoniens. De précédentes tentatives ont été poursuivie sur la base de cette protéine, mais avec des résultats contradictoires, la difficulté étant que la protéine est également présente dans les cerveaux en bonne santé. Ici les chercheurs de l'Université d'Edimbourg ont utilisé une technologie très sensible (real-time quaking induced conversion) permettant de mesurer la viscosité des protéines et donc leur propension à former des amas néfastes. La technique qui peut détecter d'infimes différences dans les propriétés des protéines dans le cerveau peut donc faire la différence entre un cerveau sain ou « parkinsonien ».
Ces premiers tests identifient ainsi avec précision 19 des 20 échantillons provenant de patients atteints de la maladie de Parkinson, ainsi que 3 échantillons de patients diagnostiqués à risque élevé de la maladie. Aucun faux positifs n'est relevé parmi les 15 échantillons de contrôle de participants en bonne santé.
Ø La technique permet également d'identifier, et de différencier, la démence à corps de Lewy.
Les auteurs rappellent que cette même technique a déjà fait ses preuves dans le diagnostic de la maladie de Creutzfeldt Jacob. Ils espèrent son application rapide en pratique clinique pour le diagnostic de Parkinson et de démence à corps de Lewy. Encore une fois, pouvoir détecter ces maladies aux tout premiers stades de développement permettrait de tester de nouveaux médicaments qui peuvent ralentir ou arrêter la progression de la maladie.
Autres actualités sur le même thème
CANNABIS: Moins de dopamine, moins de performance cognitive
Actualité publiée il y a 9 années 10 moisCRISE CARDIAQUE : Elle brise aussi la santé cognitive
Actualité publiée il y a 3 années 11 moisSCHIZOPHRÉNIE : Le risque de décès reste démultiplié
Actualité publiée il y a 8 années 4 moisCOGNITION : Avantage cognitif aux femmes des pays à égalité de genre
Actualité publiée il y a 8 années 6 mois



