EMBOLISATION BARIATRIQUE : Elle réduit le muscle aussi
Cette nouvelle procédure de perte de poids, l’embolisation bariatrique qui consiste à emboliser l’artère gastrique gauche pour diminuer le taux de l’hormone ghréline, ou hormone « de l’appétit » devient de mieux en mieux reconnue pour son efficacité à traiter l’obésité, avec une perte de poids pouvant atteindre les 10% à 3 mois. Cependant, alors que l’option toujours en cours d’essai clinique atteint globalement ses objectifs d’efficacité, apparaissent simultanément ses effets secondaires possibles. C’est le cas avec cette étude qui révèle une perte de muscle, tout autant que de graisse… Des données présentées au Congrès annuel de la Radiological Society of North America (RSNA) qui appellent à suivre attentivement les patients après l’intervention.
Car la perte de masse musculaire est préoccupante et implique un suivi nutritionnel, soulignent les chercheurs de la Mayo Clinic (Rochester, Minnesota). L'obésité est un problème de santé majeur lié à des maladies graves telles que les maladies cardiaques, le cancer et le diabète. Les traitements de première intention tels que l'alimentation et l'exercice ne fonctionnent pas toujours, et, dans le même temps les procédures bariatriques font leurs preuves, y compris en cas de comorbidités métaboliques comme le diabète de type 2. La plupart de ces chirurgies qui consistent à réduire la taille de l'estomac s’accompagnent néanmoins et parfois de complications.
L’embolisation bariatrique permet la perte de poids, mais comment ? L’embolisation gastrique ou bariatrique, une procédure moins invasive, qui consiste à injecter des billes microscopiques sous contrôle d'imagerie dans l'artère alimentant l’estomac en sang. Les perles bloquent le flux sanguin et réduisent la production de ghréline, l’hormone qui stimule la faim. De premières études montré l’efficacité de l’embolisation pour la perte de poids, mais, comme le souligne ici l’auteur principal, le Dr Edwin A. Takahashi, radiologue vasculaire à la Mayo Clinic : « Il n’existe aucune donnée sur ce qui contribue à la perte de poids, que les patients perdent ou non de la graisse, ou encore de la masse musculaire, ou enfin une combinaison des deux ».
16 patients en surpoids ou obèses ayant subi une embolisation de l'artère gastrique gauche pour traiter un saignement gastro-intestinal ont subi une tomodensitométrie permettant à l’équipe de mesurer leur composition corporelle. Ces examens ont été effectués avant et environ 1,5 mois après la procédure. Les résultats ont été comparés à ceux d'un groupe témoin de 16 patients ambulatoires n'ayant pas subi d'embolisation de l'artère gastrique gauche, mais ayant subi un scanner à deux périodes différentes pour des douleurs abdominales non spécifiques. L’analyse montre que :
- les 16 patients ont tous perdu beaucoup de poids après l’embolisation, soit en moyenne 6,4% de leur poids en 1,5 mois. Leur indice de masse corporelle (IMC) a diminué de 6,3% ;
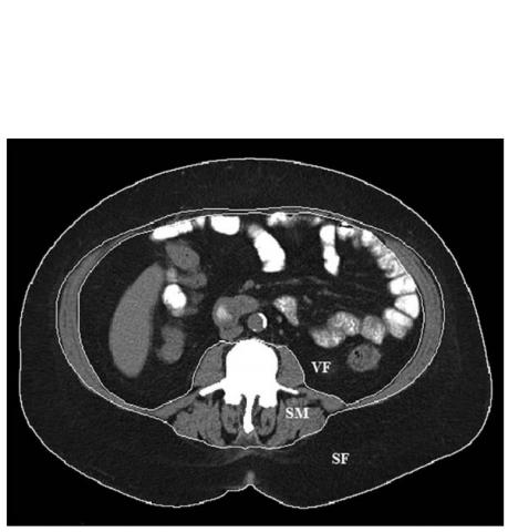
- les changements dans la composition corporelle sont surprenants : l'indice de masse musculaire squelettique (SM sur visuel ci-dessous), une mesure de la quantité de muscle lié au squelette qui contribue à la motricité, est réduit de 6,8%. Or une perte de muscle squelettique peut altérer la fonction physique et le métabolisme et accroître le risque de chute et de blessure.
La perte substantielle de muscle squelettique met en évidence le risque, plus global de perte de masse musculaire et implique la nécessité d’une gestion bien spécifique après la procédure, soulignent les chercheurs. « Nous devons nous assurer que ces patients reçoivent une nutrition adaptée pour minimiser cette perte de tissu musculaire ».
La perte de graisse corporelle est confirmée et conséquente : l’étude confirme l’efficacité de la procédure pour la perte de masse graisseuse. En effet, le taux de masse grasse est réduit, en moyenne chez ces patients, de 3,7%. Cependant, la plus grande partie de la perte de graisse consiste en graisse sous-cutanée (subcutaneous fat ou SF sur visuel ci-dessous), et non en graisse viscérale (visceral fat ou VF sur visuel ci-dessous), la graisse la plus dangereuse entourant les organes et associée aux problèmes de santé sévères comme les maladies cardiaques et le diabète. Or cette graisse viscérale ne diminue pas de manière significative au cours du suivi.
Il s’agit donc de poursuivre les recherches à la fois pour préciser les effets de l’embolisation bariatrique, valider ou infirmer son efficacité dans le traitement de l’obésité morbide et, le cas échéant mieux cerner ses effets secondaires, voire indésirables.
Autres actualités sur le même thème
HORLOGE BIOLOGIQUE : Elle retarde avec un régime riche en graisses
Actualité publiée il y a 4 années 4 moisDOULEUR et SURALIMENTATION : Des indices confirment leur corrélation
Actualité publiée il y a 4 années 3 joursOBÉSITÉ : Du piment en guise de médicament ?
Actualité publiée il y a 7 années 6 moisOBÉSITÉ : L’exercice peut-il venir à bout d’une prédisposition génétique ?
Actualité publiée il y a 7 années 8 mois



